牙齿美容是越白越好吗?
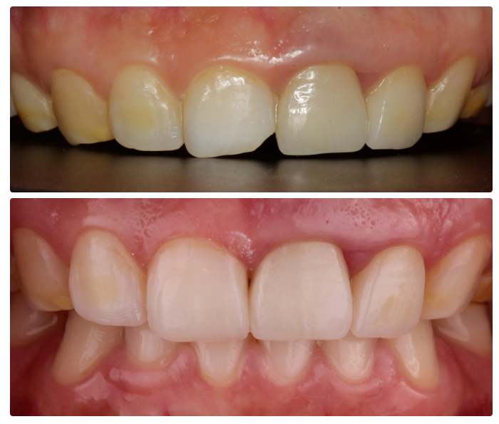
随着生活水平日益提高,大家对自己的牙齿也越来越关注。不仅希望牙齿健康,还希望牙齿能成为颜值的“加分项”,这就需要牙齿的美容(美学)修复了。通俗来讲,牙齿的美容美学修复就是在健康稳定的口腔功能上,追求最大限度的口腔美学改善。牙齿美容的基础是口腔健康,若抛开健康,只追求所谓的牙齿“亮白”,就会成为下图两个病例。

上述两个病例都是在未进行美学分析设计和标准临床操作的情况下,简单粗暴地将假白的树脂材料堆砌而成。且不说这种操作对美观的改善有限,更会引发咬合关系改变,颞下颌关节紊乱,牙龈充血红肿,牙齿疼痛等新问题。
因此,牙齿美容一定要到正规医院,找专业的医生来设计治疗。在口腔功能健康稳定的基础上,患者朋友们可选择更加微创美观的瓷贴面修复。
哪些牙适合瓷贴面修复?
一、变色的牙体,如轻中度的氟斑牙,四环素牙,牙釉质发育不良,或者是对自身牙齿颜色不满意的患者。

二、前牙有少量均匀分布的散在间隙,可以用瓷贴面进行缝隙关闭。

三、轻度的错位牙、异位牙,发育畸形的牙齿,可以进行瓷贴面修复。

四、外伤、龋损等原因导致牙体缺损,这种情况下可以进行树脂充填,如果充填物在咬合过程中反复脱落,可以考虑进行瓷贴面修复。

修复前,需要对患者整体的牙体、咬合、牙周、关节等进行详细全面的检查。然而,根据患者的整体面部,局部的唇齿关系、牙龈美学、牙齿美学综合分析,设计合适的方案,确认方案后再进行牙齿预备、比色、印模、记录咬合关系、佩戴临时修复体,最后1-2周后来佩戴正式修复体。
需要特别提醒的是,瓷贴面牙齿并不是越白越好!一味追求过白的牙齿,与邻牙脱节,只会显得突兀、假白。只有同时符合生理美、功能美、形态美的牙齿,才能达到最理想的美学效果!
爱牙热线:0579-82516666
手机访问
微信客服
微信公众号
